摄影记者:人生中的勇士,岂能做缺牙的俘虏?
麦芽智能AI在线 · 点击咨询 来源:麦芽糖编辑社 更新:2020-04-11 09:21
*说明:文章信息仅供参考,不作为临床口腔医学诊断依据。
过去的困扰
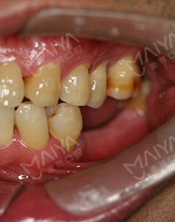
由于职业原因,特别爱好摄影和旅游。去年年底到今年6月,和朋友们分别去了南极和北极,我把这次南北极之旅称之为“南征北战”。尽管今年已经58岁了,热爱冒险又健谈的我和同龄人相比起来却像一个40多岁的人。但由于年轻时对口腔保护意识的薄弱,导致了现在口内5颗牙缺失,大家都想不到吧?别人是缺前牙,我是缺大牙,这大牙可是咀嚼食物的主要牙齿,所以我很多时候吃饭都是囫囵吞枣,对饮食生活造成了相当大的困扰。吃东西费劲,很多时候朋友邀约出去聚会,却只能眼睁睁的看着大家享受美食。随着年龄的增长,缺牙造成的营养吸收不均衡,在饮食和身体健康上带给我的是双重困扰。有人劝我镶牙,但活动牙我看不上,固定牙又不适合伤害健康的牙齿,思前想后,还是决定种牙。

改变开始
2017年12月 牙好胃口好,感谢麦芽给了我再尝美味的机会
现在牙齿好了,吃东西特别香,气色好了很多,人也帅气不少,连整个人都精神百倍。与朋友相聚、出差摄影旅游啥的完全不担心这个吃不了,那个不能啃,现在啃排骨、吃螃蟹完全不是事。
这周约好了去医院复诊,虽然要去医院进行长期的牙齿维护,但是为了牙齿的健康,还是得坚持,毕竟牙齿陪伴一生,没有了它吃什么都没味道。真的非常感谢麦芽给了我再尝美味的机会。
2017年9月 数字科技精确种,让我轻松拥有一口好牙
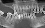
按照预约的时间,今天早早就来到了麦芽口腔,通过德国KAVO锥形束CT检查缺牙处牙槽骨的骨质密度、厚度,并分析牙周口腔健康后,郑院长根据我牙槽骨数据和口腔健康情况分析,采用MAC数字化精确种植,来恢复牙咬合功能的种植方案。
首先通过数字化精确影像采集测量患者牙床的骨质密度、牙槽骨本身的高度、宽度等条件,设计最佳力学种植点,同时发现神经血管,做到心中有数。在手术过程中,通过实时导航技术,控制种牙的深浅、避开口内危险区域,不仅减小了创口,平均种1颗牙耗时10分钟,减少了肿痛和出血量,缩短了种植牙时间,种植位置更准确,种植成功率更高,帮助了无数害怕疼痛的缺牙患者,轻松拥有一口好牙。
种牙手术结束后,苏伟说“完全没传说中要做手术那种恐慌,本以为手术过程中会感觉到疼痛,结果就像被蚊子叮了下,轻松就完成了,并且手术后也没有什么不良反应,感觉非常好。给郑院及麦芽的硕博智库专家团点赞!

2017年9月 认证麦芽口腔,北极之旅,携带麦芽口腔的旗帜
认定了麦芽口腔后,最终来到离家近的麦芽口腔南山机构。“一进麦芽口腔客服人员各种关心问候,麦芽口腔的服务和态度都很周到和细致,当时心里更加觉得选麦芽口腔是对的,而且,麦芽口腔是由深圳市第二人民医院原口腔科主任郑苍尚教授领衔的硕博智库医疗团,麦芽的各项设施和技术都处于行业领先水平,设备齐全,环境干净。医术精湛,值得信任!”制订完方案后便立即预约时间治疗。下次来了就可直接种牙了”
苏伟说:经过咨询问诊后,更对麦芽口腔产生了强烈的认同感,并在北极之旅中,带上了麦芽口腔的旗帜。“之所以把麦芽口腔的旗帜带到北极,是希望让更多缺牙的中老年朋友能够‘重获新生,早日拥有一口好牙,畅想美食’。

2017年7月 多方比对,最终认定麦芽口腔
其实,早先我就寻求过缺牙修复的方法,当时医生给我推荐的就是种植牙修复。但作为一名摄影记者平时经常出差也比较忙,所以一拖再拖。虽友人曾推荐麦芽,但追求严谨真实的记者病,也让我比对过深圳、香港的不少口腔医疗机构。经过多方对比和多方咨询后,最终认定麦芽口腔。

2017年7月 口腔保健意识差,导致我口内5颗牙缺失
由于职业原因,特别爱好摄影和旅游。去年年底到今年6月,和朋友们分别去了南极和北极,我把这次南北极之旅称之为“南征北战”。尽管今年已经58岁了,热爱冒险又健谈的我和同龄人相比起来却像一个40多岁的人。但由于年轻时对口腔保护意识的薄弱,导致了现在口内5颗牙缺失,对饮食生活造成了相当大的困扰。吃东西费劲,很多时候朋友邀约出去聚会,却只能眼睁睁的看着大家享受美食。随着年龄的增长,缺牙造成的营养吸收不均衡,在饮食和身体健康上带给我的是双重困扰。
我虽然走遍大江南北,也看遍了大江南北的风光。这本是羡煞旁人的事,但对我来说,却有许多遗憾。20年前牙齿就开始脱落了,但当时科学、技术都没有达到现在的标准,自己也没有太在意,如今随着生活品质的提升,科学、技术的提高,对恢复牙齿的需求也变得越来越迫切。

*提交信息后,工作人员将致电回访,与您确定到院时间,小麦为您自动排号,为您节省看牙的时间。












转载
咨询














































