退休干部:“我终于能想吃啥就吃啥了!”
麦芽智能AI在线 · 点击咨询 来源:麦芽糖编辑社 更新:2020-01-15 14:43
*说明:文章信息仅供参考,不作为临床口腔医学诊断依据。
过去的困扰
忙碌了大半辈子,终于可以退休享享清福。我和每个退休老人一样,每天就是接送孙子上下学,晚饭后和一群老友散散步,下下棋,日子过得清闲又自在。然而,平静惬意的生活却因为自己满口牙齿松动而“黯然失色”,不想出门,整天闷在家里看电视,后来牙齿问题严重的时候甚至把手机给停掉了。

要说我的牙齿问题,得从五年前说起,那时候因为对缺牙的不重视导致满口牙都受到影响,逐渐掉落,去年在不得已的情况下按照了假牙。但没想到,自从安装假牙后我连一点硬东西都吃不了,很多美食都无法享受,最主要的是卡环的钩子导致我张口就感到疼痛,这个假牙没用两三次就扔掉了。不由感叹一声,本来想要在退休后感受一下慢生活,谁知道连基本的饮食都成了问题。

改变开始
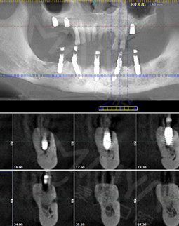
2016年3月医生说牙齿没法做传统种植
一直听说种植牙不错,但碍于怕疼、怕种牙贵等原因一直没有深入了解,前段时间偶然在报纸上看到麦芽MAC数字化精确种植牙技术,便就近来到了麦芽口腔罗湖机构进行咨询。不得不说,麦芽的服务真的很棒,从进门开始到拍片检查,再到医生给我看牙,整个流程下来感觉很贴心。

麦芽的博士专家团在看过我的片子后发现,我的牙齿由于长期对口腔疏于护理,牙周情况非常差,余牙有些松动,且牙槽骨萎缩严重,现存的骨量无法进行传统的种植牙手术,因此给我设计了“all-on-4”种牙技术的升级版本“all-on-5”,前期是要处理我的牙周问题,当天就给安排了洁牙,然后上药,等牙周恢复差不多就可以进行种植了!

2016年5月终于想吃啥就吃啥了!
经过一个月的牙周治疗,牙齿肿胀部分都已经消退,来麦芽种牙之前,心理还有点小紧张,总害怕种牙特别疼,恢复时间慢。我的牙齿情况比较复杂,部分牙齿有牙槽骨吸收,经过前期的各种检查,医生说我的身体状况适合种牙。

但是打完麻药,躺在那里发现手术时一点感觉也没有,半口牙只种了5颗牙钉,而且不到一个小时,感觉自己就眯了一会就好了。麦芽的种植专家们手法特别棒,很稳。牙钉种好之后,没有立即戴牙冠,医生用硅橡胶取模,为我制作了临时牙冠,不过看到临时牙冠我就能想象到完全种好牙的样子了!然后,医生给我一个小卡片,上面记录了种牙后的注意事项,告诉我种完牙后自己维护也很重要。医生说要按时复诊,也会有专门的工作人员进行通知,不得不说麦芽在细节上真的很暖心。

2016年8月分享种植故事
今天麦芽开展了一个“幸福晚年有口福”活动,很荣幸成为麦芽口腔健康公益大使,我也可以把我的故事分享给更多人,让缺牙的朋友都知道种牙的好处。作为麦芽的受益人想说,来这里种牙绝对放心可靠,无论是医生技术还是设备在深圳都是可以往前排的,而且服务态度也很好,受权威部门监管,收费公开透明。每个人的情况不同,所以大家还是来麦芽做个拍片检查,然后让医生检查一下,制定适合个人的种牙方案。

伙伴们,缺牙千万不要拖着,越拖情况越严重,余牙都会受到波及,而且影响身体健康,啥都吃不了,所以啊,缺牙一定要及时修复!

2017年1月感谢麦芽硕博团队
我种牙后并没有什么不适,下牙的牙齿种好了,我又找麦芽的硕博专家把上牙的几颗牙齿也种了,绝对不能因为一颗坏牙再引发其他的口腔问题。临时牙冠佩戴没有任何不适,做了永久修复,而且麦芽的硕博专家还给我分析下牙和上牙的咬合关系,不能随便就戴牙冠,种的好是一方面,更重要的是咬合和使用功能。

我觉得把缺牙问题交给这样的硕博种植专家团队,很放心!我还准备了一个锦旗送给麦芽的专家们,非常感谢他们,让我可以拥有一口好牙。

2019年10月参加麦芽活动
这两年陆续去麦芽复诊,医生看完我的牙齿说维护的很好,需要坚持下去,不能因为种完牙就对它不管不顾,按时刷牙和用牙线清洁,据说我的种植牙维护的好可以用上好几十年,每天成本顶多才6毛钱,跟之前的假牙相比又美观,又舒服。

当然我还顺带参加了一下他们的活动,比如分享会、疑难缺牙工程等,跟同样缺牙的老伙计们讲了一下我的故事,分享了一下种牙经历,不得不说自从种完牙后生活发生了巨大的变化,不仅现在可以吃小龙虾、大闸蟹、排骨这些硬菜,还有一些“硬”水果现在也可以吃了,不再以稀饭和面条为主,生活又开始变得有滋有味,现在我的朋友都说我开朗了不少,之前合影都是抿着嘴,现在拍照都是哈哈大笑。

*提交信息后,工作人员将致电回访,与您确定到院时间,小麦为您自动排号,为您节省看牙的时间。












转载
咨询














































