小景甜:矫牙能给美丽锦上添花,何乐不为?
麦芽智能AI在线 · 点击咨询 来源:麦芽糖编辑社 更新:2020-01-12 15:14
*说明:文章信息仅供参考,不作为临床口腔医学诊断依据。
过去的困扰
在nice和ins上发照片,曾有8个摄影师约拍写真;后兼职做淘宝模特…虽然小虎牙很可爱,也一直是我笑容的标志,但还是想让自己的美更锦上添花。一直担心矫正的效果,不知道选什么医院好,只能一直压抑着想法。

改变开始
2018-10-23 选到好医生矫牙真的很放心
失踪人口来报到,好久久久久久久没来更新了,忙里偷闲,我又带着我的隐形小牙套过来“嘚瑟”啦~
戴了这么久的矫治器,看到很多小伙伴都比较关心隐形牙套的效果和舒适度,脑袋瓜里突然有了想和大家分享的内容。矫过牙的姐妹都知道,没有不好的牙套,只有不够好的医院和医生,我每次去复诊的时候,医生都会告诉我我的牙移动到了哪一步,这就让我很放心,说明我的牙是按照医生定的矫牙方案在走的,而且我自己也能看到效果,只需要每天按时佩戴隐形牙套就可以了(一定要坚持佩戴啊!!如果每天佩戴时间不足,矫牙效果是不大的)。
考虑戴隐形牙套的话,要记住效果会比那种普通的金属矫治器来得慢,当然也有那种提速的隐形矫治器,原理我就不是很清楚啦,但是据说可以缩短牙齿矫正的时间,矫牙价格也会比我戴的这款矫治器要贵,我感觉要求不是很高的小伙伴,其实戴一般的隐形牙套就可以了。至于舒适度的话,我个人觉得还是可以的,隐形牙套不硌嘴,也不怎么影响吃喝,就是每次换新牙套的时候牙齿会有点酸酸的感觉,这点我在上篇日记也说过了,其实一般都能接受,而且也是正常的现象,不用太担心。

2018-4-11 分享4个月的矫牙体验
已经戴牙套4个多月,总时长为1年半左右。开始矫牙后开始每天使用牙线清洁牙缝,每换一付牙套刚带的头几天会出现酸痛,但没有第一付时的反应大~ 现在感觉好多了,也可以很熟练的戴上它了~
牙套真的很隐形,带它出去不近看,基本看不出来我戴了牙套,哈哈哈…… 有次和闺蜜出去玩,我说我戴了牙套,闺蜜却说,啊,你竟然戴了牙套啊,要不是你说,我都没看出来,嘿嘿,当时听了心里可开心了,这款牙套魅力就是我带了牙套,只有我知道O(∩_∩)O哈哈~。目前还看不出牙齿的变化情况,但牙齿矫正本身就是一个漫长的过程,期待我下次的更新吧。

2018-01-12 我的隐形矫正“初戴日”
今天客服小姐姐打电话来,说我的牙套已经到院,然后根据我的时间约医生,真的好贴心哦~~还是上次的主任。我做的时代天使隐形矫正,对比其它的牙套更柔软,时代的质地透明,不会刺伤口腔黏膜,佩戴起来更舒适。平时带着牙套几乎不会有人发现,一点都不会影响美观,这才是最重要的!!!
戴牙套之前又一次体验到了矫正医生的耐心和负责,刚开始我还不太会,后来学到了个窍门,就是听见“咔”的一声,就是戴好了~医生说牙套可自行摘戴,不影响进食和工作,但是要戴够20个小时以上。临走之前还有个小卡片上面全部写满了注意事项,真的很细心,加分呦~我的矫正生涯正式启动啦~~~

2017-11-11 笑着矫正,我可能是第一个
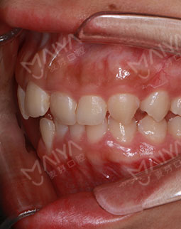
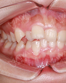
经过闺蜜推荐,我选择了麦芽口腔。先说下我来医院给我的的感受:第一次来~给我的印象非常好。医院是正规的,卫生条件也没得说,整个流程走下来很流畅。客服小姐姐很热情,医院环境也不错,让我紧张的心情放松了很多!这次给我做牙齿矫正的是主任,主任很细心,也很和蔼。给我拍了口内照和前后侧面对比照,等矫牙结束后再看看对比。很多人矫牙拍照都很严肃,我可能是少数,哈哈~其实想着能改变自己惹人烦忧的小虎牙,我内心是很嗨森哒医生给定方案,取了模,说过几天就有定制的牙套啦,好期待....


*提交信息后,工作人员将致电回访,与您确定到院时间,小麦为您自动排号,为您节省看牙的时间。












转载
咨询














































