许女士:虫牙不治,缺牙烦人
麦芽智能AI在线 · 点击咨询 来源:麦芽糖编辑社 更新:2019-11-12 19:57
接诊范围·专精疑难
MAC博士智库
专注高龄疑难缺牙
进入医生列表甄选系统·国际品质
六大系统认证
数字化种牙示范基地
植体拥有唯一编码数字科技·精确种牙
运用数字科技
让疑难种牙变简单
申请方案设计数字化口腔精确科技倡导者
以修复为导向
一站式种牙与修复
了解更多*说明:文章信息仅供参考,不作为临床口腔医学诊断依据。
蛀牙不治疗,易致牙缺失
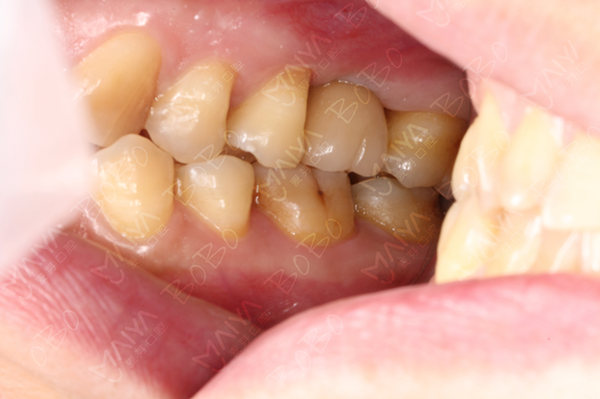
家住龙华的许女士,在饮食上偏好吃甜食和酸食,加上没有养成定期口腔检查的良好习惯,导致在初期蛀牙时没有及时发现、及时治疗,而是直到出现松动、疼痛难忍等症状时,牙齿已经发展成重度蛀牙。为此,许女士曾一度感慨到:"拥有的时候不知道珍惜,直到失去才后悔莫及"。

许女士来麦芽口腔
因为牙齿问题吃不好,睡不好的,经朋友推荐慕名前来麦芽口腔,又在自家小区看到麦芽的公益宣传,通过网上充分了解到麦芽口腔之后,所以就来试试。
当天种牙为麦芽点赞
麦芽口腔种植医师团队和麦芽特邀专家孙海鹏博士指出许女士因蛀牙导致上牙左右两边第一磨牙缺失多年,已经影响到许女士的咀嚼功能,甚至影响食欲和破坏肠胃健康,过早牙缺失,会导致一系列的身体危害而不自知。出于对身体健康方面考虑,决定为许女士采用种植牙修复并成功种下德系品牌种植体。

医生为许女士做口腔检查

许女士术前口腔全景片

医生为许女士采取MAC数字化精确种植牙方案

植牙模拟判断咬合程度

种牙过程中

种植体的植入

种牙完成后的许女士
种牙完成的许女士说道:"常年单侧咀嚼,现在感觉脸都变形了,非常感谢麦芽口腔,弥补了我多年缺牙的遗憾,做手术的时候就感觉是像被蚊子"叮"了一下,牙齿就种好了。麦芽的种植技术超赞!"

种完牙后的牙齿

种牙完成后口腔ct全景片
*提交信息后,工作人员将致电回访,与您确定到院时间,小麦为您自动排号,为您节省看牙的时间。
















转载
咨询















































